ぶつけた覚えがないのに内出血!原因と考えられる病気とは?
ふと気づくと
内出血のような痣(アザ)を見つけたことはありませんか?どこかにぶつけた覚えのないのに不思議に思ってしまいますが、もしかするとそれは病気のサインかもしれません。
今回は
覚えがない内出血の原因と考えられる病気について説明いたします。
□ 内出血は 紫斑病の病状の可能性がある
□ 紫斑病の原因は解明されていない
□ 内出血が大きくなるようであれば 白血病の疑いもある 覚えがない内出血がある場合は皮膚の内出血は一般的にはあざと呼ばれていて、皮膚をどこかで強打したりしてしまった時に内出血として発生して、皮膚の内側が青くなったり、赤黒くなったりします。このような内出血は、ほとんどの人が経験しているはずです。
内出血のメカニズム
内出血というのは、文字通り皮膚の下で出血している状態を表します。内出血ができた当初は、あざは青いというよりも赤くなっているのがわかるはずです。
徐々に時間が経過することにより、 血液が劣化していき赤黒く、青黒くなっていきます。
ぶつけていない時の内出血は?
時としてどこにもぶつけていないのに皮膚に内出血が発生することがあります。気が付かないうちにどこかへぶつけてしまったという事も考えられますが、そうでない場合は 別の病気である場合が考えられます。 覚えがない内出血は紫斑病かも

もし、どこにもぶつけていないのに内出血がある場合は、 紫斑病である可能性があります。
紫斑というのは、内出血によるあざの事であり、打ち身により発生する内出血ではなく、 他の原因により皮膚や粘膜内に内出血が現れる病気です。
紫斑病で出血性疾患と定義されており、最も多くみられるのが、次の2つの病気です。
・アレルギー性紫斑病
・血小板減少性紫斑病(ITP)
その他にも、
・突発性血小板減少性紫斑病
・血栓性血小板減少性紫斑病
・単純性紫斑病
・老人性紫斑病
などがありますが、一般的には上に挙げた2つの病気を発症している場合が多いです。 アレルギー性紫斑病による内出血 アレルギー性紫斑病というのは、血管壁に炎症がおこる病気です。それにより内出血による赤や紫色の斑点上の紫斑が発生します。
子供がかかりやすい
アレルギー性紫斑病は、大人よりも 小学校高学年くらいまでの子供に発症することが多いです。成人でも稀に発症しますが、その割合としては微々たるものです。
欧米での研究では、17歳未満の子供の10万人あたり約20人の子供に発症するという研究結果が報告されています。
アレルギー性紫斑病の原因とは
アレルギー性紫斑病の明確な原因というのは、詳しく解明されていません。何かしらの要因により、 血液の中にあるIgA抗体が過剰反応を起こすことが知られていますが、現在でも原因を研究中です。 血小板減少性紫斑病(ITP)による内出血 血小板減少性紫斑病というのは、血液内の血小板が減少して血が止まりにくくなってしまう病気です。通常であれば、血小板の働きにより、血を凝固させるのですが凝固しにくくなり血が通常よりもたくさん出ます。
どれくらい血小板が減少しているのか
健康的な成人であれば、血液中の血小板は、15~40万/μL程度含まれています。ですが、血小板減少性紫斑病の患者の場合、 血小板数が10万/μL以下にまで減少してしまいます。
血小板が少ないことで、ほんの少しの事でも血が止まらず内出血が増え、紫斑が増える要因となります。
血小板減少性紫斑病の原因は
なぜ、血小板減少性紫斑病を発症するのかについてはまだ解明されていません。何らかの原因により、 免疫異常を起こして血小板が破壊されていきます。
それに加え、血小板の生成が減少し、血液中の血小板が極端に減少してしまうのです。 覚えがない内出血は白血病の可能性も

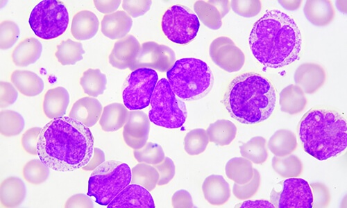
紫斑病に比べると発症している可能性は低くなるのですが、覚えがない内出血が多い場合は、白血病を発症している可能性もありますので気を付ける必要があります。
白血病とは
白血病とは、血液中の白血球が異常に増殖し続けてしまう病気です。がんのような性質の事から、 血液のがんともいわれています。白血球が異常増殖することにより、相対的に血小板の割合が減少してしまいます。
血小板が減少してしまうと、紫斑病と同じような状態になり、血が止まりづらくなったり、ちょっとしたことで出血を起こしやすくなります。
内出血が大きくなるのなら要注意
白血病が原因で出来る内出血というのは、初期においては小さな斑点上の紫斑であることが多いです。それが、 気づいたら大きくなっているのであれば医師に相談するなどの注意が必要です。 気になるようであれば医師へ相談を今回は身に覚えがない内出血についてご紹介させていただきました。
気付かないうちに強打している可能性もありますが、紫斑病や白血病の可能性もあります。
内出血によるあざがどんどん増えたり、大きくなったりした場合は何らかの病気を発症している疑いもあります。
覚えがない内出血について気になるような状態になった場合は、医師の診断を仰ぐとよいでしょう。
(監修:Doctors Me 医師)