古代エジプト王「ラムセス3世」は暗殺者によって殺された。科学技術で3000年の謎が解明される
古代エジプトで神とあがめられた「最後の偉大なファラオ(王)」、ラムセス3世は後継者争いのさなか、暗殺者に喉をかき切られて最期を迎えた。今月17日、科学者たちは、3000年前の王家殺人事件の謎を紐解く報告を発表した。
現代の法医学技術を駆使した研究によって、ラムセス3世は狡猾な妻と野心家の息子が放った刺客、あるいは暗殺団の手にかかり殺された可能性が示唆された。
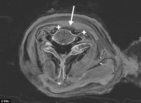
ラムセス3世のミイラのCT画像によると、王の気管と主幹動脈は裂けており、傷は左右7センチにわたり、深さは脊椎にまでほぼ達していたことが分かった。またこの傷によって、首の前面部の軟組織は完全に傷んでいた。
ラムセス3世のミイラ CT画像

イタリアにあるボルツァーノ欧州アカデミー内の「ミイラとアイスマン研究所)」の古病理学者、アルバート・ジンク氏は「首にあるこの切り傷によりラムセス3世は殺されたという事実にほぼ疑いはない。傷は非常に深く極めて大きく、骨(脊椎)にまで達している。致命傷だったことは間違いない」と述べている。
ラムセス3世のミイラ

紀元前1188年~1155年までエジプトを支配したラムセス3世は、古代の書物の中で「偉大なる王」であり、当時の地中海世界で最も価値ある「見返り」だったエジプトを度重なる侵略から守った戦将だと記述されている。
ラムセス3世は65歳前後で死亡したが、死因は明らかになっていない。ラムセス3世暗殺を共謀した者たちの裁判を記録した「トリノの法のパピルス」という古文書の中にわずかな手がかりがあるだけだ。記録されている4つの裁判にかけられた中には若い妃たちの1人、ティイとその息子ペンタウアー王子も含まれていた。
喉をかき切られたのは死んでからだった可能性もあるが、古代エジプトのミイラ作成技術にはそうした方法はまったく記録されていないことから、その可能性は非常に少ないと研究チームは述べている。
また「叫ぶミイラ」として知られるミイラは、ラムセス3世謀殺の後におそらく自殺を強要された息子、ペンタウアー王子である可能性もあるという。
ペンタウアー王子の可能性が浮上した叫ぶミイラ

右下顎頸部領域の下の皮膚のしわ(矢印)から、絞殺された可能性も高い。

歴史を見れば、王位継承に横やりを入れようとした者たちの策略は失敗に終わった。王座は、ラムセス3世自らが選んだ息子のラムセス4世に引き継がれた。